Implantologie
Les implants dentaires permettent aujourd’hui de remplacer les dents absentes de façon prédictible et peu invasive. De la reconstruction unitaire, plurale à complète, les implants donnent aux patients la possibilité de retrouver une mastication efficace et un sourire esthétique.
Les reconstructions osseuses
Pour assurer la pérennité du traitement implantaire, l’implant en titane doit être placer de manières à ce que la restauration prothétique assure la fonction occlusale. Il faut donc s’assurer dans les examens pré implantaire que l’os disponible correspond bien à de l’os utile.
L’autre impératif, est d’avoir évidemment suffisamment d’os en hauteur pour assurer l’ancrage, mais également en épaisseur afin que ce dernier qui si situe sur le pourtour du col implantaire soit vascularisé, et ainsi limité la résorption au cours du temps. Cet os périphérique protège également du risque de rupture du col de l’implant, car c’est la zone de jonction avec l’élément prothétique.
Pour répondre aux critères biologiques et fonctionnels des restaurations implanto portées, nous réalisons des reconstructions osseuses pré implantaires au moyen d’os artificiel ou de votre propre os, la situation clinique indiquera l’utilisation de l’un, de l’autre ou des deux.
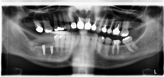
Greffe sinusienne ou sinus lift
La perte des dents dans les secteurs postérieurs de la mâchoire supérieur peut aboutir à une résorption osseuse sous la pression du sinus, dont l’expansion n’est plus limitée par la présence des dents. Ce phénomène a pour nom la pneumatisation du sinus.
La hauteur d’os nécessaire à la pose d’un implant peut donc vite se trouver insuffisante. Pour rétablir les critères biologiques et fonctionnels de le chirurgie implantaire, nous procédons à une greffe sinusienne, ou sinus lift.
Cette chirurgie de précision, consiste à effectuer une fenêtre osseuse latérale pour accéder à la membrane qui tapisse la cavité sinusienne, décoller cette dernière de façon suffisante, pour ménager un espace qui sera comblé avec de l’os. Il est nécessaire d’attendre 4 mois de consolidation avant de procéder à la chirurgie implantaire.


L’extraction implantation mise en charge immédiate
Cette procédure chirurgicale a pour objectif de conserver l’anatomie et la structure des tissus situé dans l’environnement de la dent extraite (os et gencive). Ainsi lors de l’ostéo intégration de l’implant la résorption de l’os et la gencive sont limitées. La restauration prothétique se trouve alors parfaitement intégrée à son environnement.


