Facettes ceramiques
Les facettes ceramiques
Les facettes sont de véritables bijoux. Elles redonnent vie à votre sourire et transforme complétement votre apparence. Leur forme, leur couleur, leur brillance vous donne un sourire lumineux tout en maintenant votre apparence naturelle. Si vous décidez de réaliser des facettes il est essentiel de suivre des étapes précises de planification et de réalisation. C’est pourquoi le docteur Czarnecki applique une approche unique et méticuleuse pour la réalisation de vos facettes personnalisées.
Les Facettes, qu’est-ce que c’est?
Ce sont des restaurations en céramique très fines (de 0,6 à 0,7 mm d’épaisseur), qui se collent sur la surface des dents pour améliorer leur apparence. L’avantage de ces restaurations, au-delà leurs propriétés esthétiques, et optiques naturelles, c’est la grande tolérance de la gencive à leur égard : on dit que ce sont des restaurations biocompatibles.
Les facettes permettent de réaliser de véritables « smile makeover ». Si depuis des années vous étes gêné par votre sourire, que vos dents sont usées ou cassées, les facettes en céramique permettent transformer l’apparence de vos dents. Les facettes en céramiques sont actuellement les restaurations de choix pour le traitement des dents dont l’apparence est inesthétique. La facette est une fine coquille de céramique délicatement appliquée sur les dents existantes. Il s’agit d’une des thérapeutiques dentaires les plus conservatrice existant à ce jour.
Le traitement par facette est idéal pour traiter :
- les anomalies de teintes des dents
- les anomalies de forme des dents
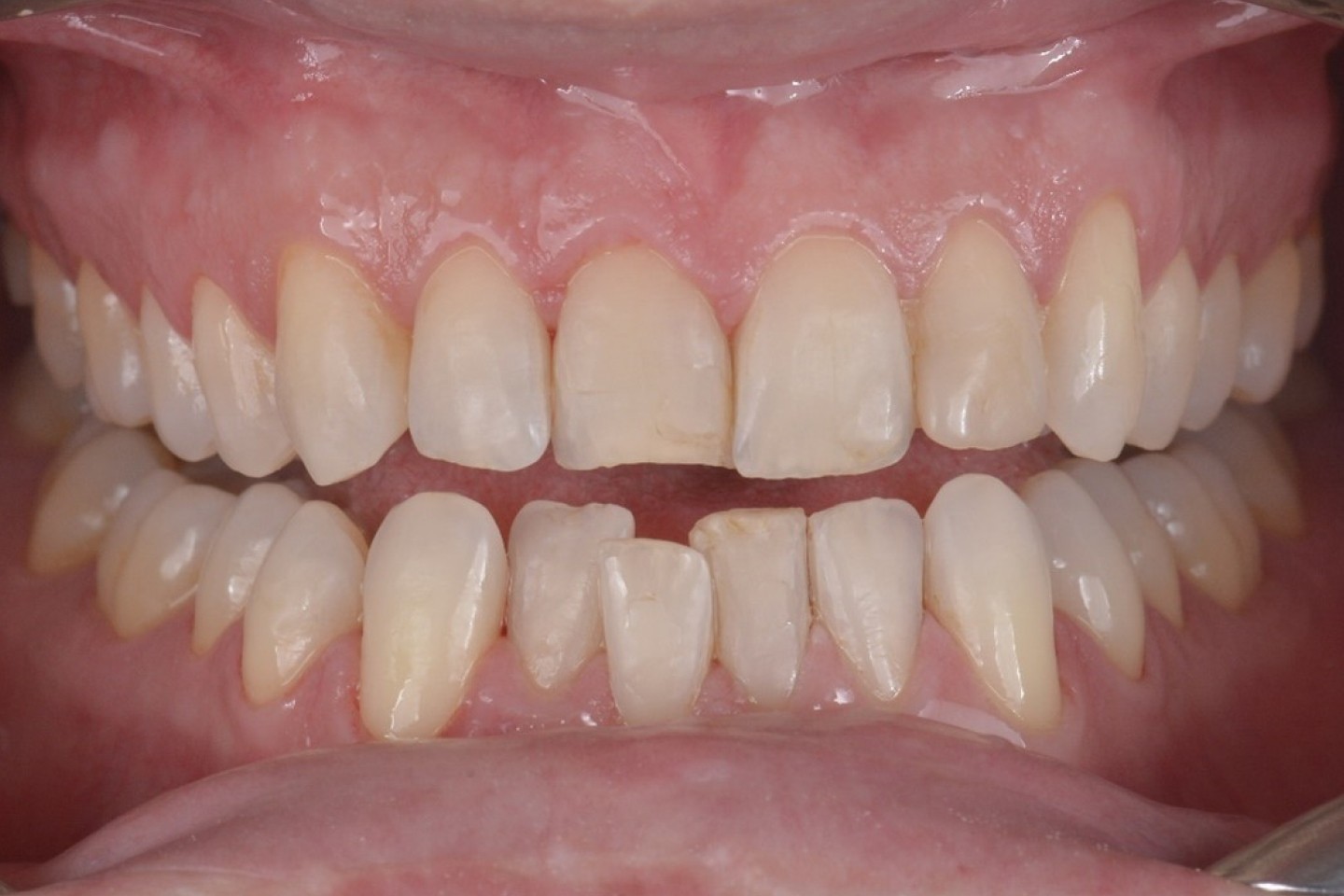
- les dents facturées, ébréchées, fissurées
- les usures mécaniques liées au bruxisme
- les érosions chimiques liées aux reflux gastro œsophagien, anorexie, boulimie.
- les diastèmes (espaces entre les dents)
- toutes les anomalies de surface des dents
À qui s’adressent-elles ?
Elles s’adressent aux patients désireux de corriger l’aspect de leur dents antérieures. Ces restaurations en céramiques permettent de corriger la forme, et la teinte des dents. Elles permettent également de rétablir la fonction quand cela est nécessaire. La meilleure façon de le savoir est de prendre rendez-vous avec le docteur Czarnecki. Au cours de cette consultation, vos dents seront examinées, mais pas seulement. En effet, une analyse faciale complète sera réalisée afin d’assurer une intégration parfaite de votre sourire.
Quel est l’intérêt par rapport aux autres traitements ?
C’est une technique de restauration qui dans des cas de dyschromie sévère (anomalies de teintes par exemple liées à la prise d’antibiotiques) permet de redonner un aspect naturel au sourire sans altérer de façon excessive la structure de la dent comparativement aux couronnes. Qui impliquent de « tailler » 60% de la dent. La facette permet de préserver 90% de la dent.
Elles permettent de corriger les anomalies de de forme, ou de restaurer une fonction dans le cadre de traitement des patients souffrant d’usure ou de bruxisme.
Peut-on voir le résultat avant la pose ?
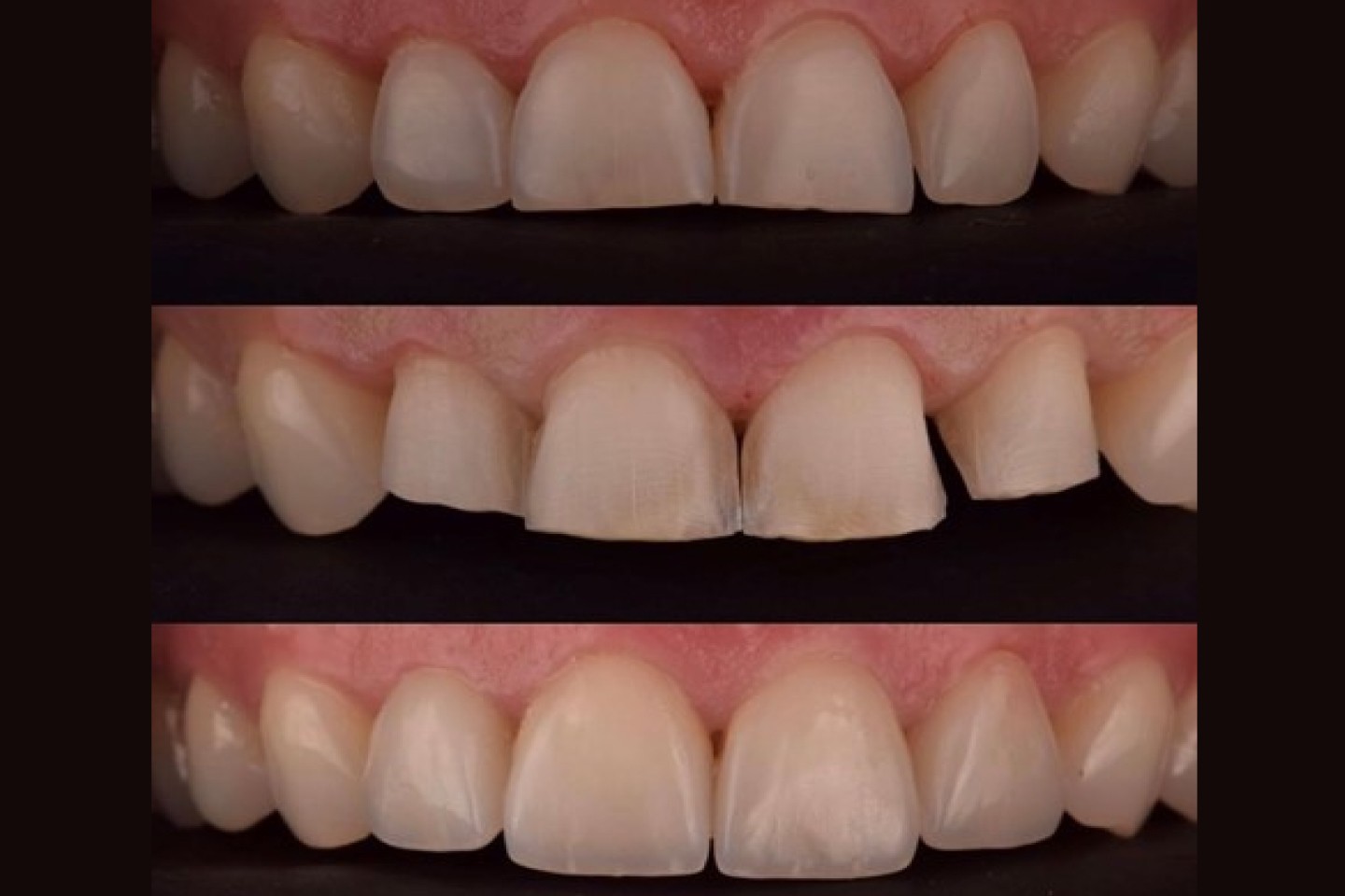
La 1ère étape consiste à réaliser une simulation numérique de votre sourire que l’on appelle le smile design. Elle nécessite la réalisation de photographie de votre visage, de vos dents sous différents angles, ainsi que l’enregistrement de l’empreinte de vos dents au moyen de notre scanner intra oral, qui permet de capturer numériquement les empreintes de vos arcades dentaires.
Une fois cette étape validée, le céramiste va réaliser une maquette de votre futur sourire en tenant compte de la position des dents, d’ajuster les proportions en fonctions des lignes de forces de votre visage (ligne bi pupillaire, médiane du visage), du contour des lèvres, de la ligne bicommisurale, de la situation du collet des dents, afin de personnaliser sur mesure votre sourire.
Par une simple application sur vos dents à l’aide d’une résine composite, cette maquette esthétique est alors testée directement dans votre bouche (Mock-up) afin que vous puissiez valider votre nouveau sourire avant tout début de traitement, et sans aucune préparation dentaire.
Quel est le prix des facettes ?
De 700 à 1 400 € : C’est le prix d’une facette en céramique. Il varie selon le type de matériau utilisé.
Concept ODA (Occlusion Driven by Esthetic)
C’est une approche globale de prise en charge, qui nécessite la mise en œuvre des différentes disciplines de la dentisterie, afin de restaurer la fonction et l’esthétique.

La réhabilitation de ce sourire à nécessité la mise en œuvre de différente technique :
- microchirurgie parodontale, élongation coronaire
- déprogrammation neuro musculaire, élévation de la dimension verticale d’occlusion
- smile design




